生殖感染-乌兰察布健民男科医院
  • 健民首页
  • 欢迎来到健民,活出精彩的自己!咨询热线:
  • 关于我们:
乌兰察布男科医院
乌兰察布男科医院

乌兰察布男科医院

乌兰察布男科医院
生殖感染

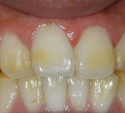
生殖感染中心引进美国Beyond冷光美白技术,该技术是一种流行于欧美的新生殖感染技术,它不仅可以去除男科表面的色素沉积,同时可进入男科深层,达到脱色的效果。根据临床试验表明,美国Beyond冷光美白技术的美白效果较佳,可提高5—14个Vita色阶

乌兰察布男科医院

乌兰察布洗牙前你该了解的注意事项
现代社会生活中饮食的提高导致人们的男科问题越来越多,不管是大人或者孩子都有着各种各样的男科问题。因此男科医生建议大家一定要要成定期洗牙的好习惯。不过没...[详细]2016-10-04 阅读:195

乌兰察布洗牙的费用是多少
在日常生活中,虽说大家每天都有刷牙,但是有很多人的男科颜色看起来始终还是不那么白呢,但是随着男科医疗技术的发展,洗牙这一男科保健方式就可以很好的改善这...[详细]2016-10-02 阅读:97

你知道乌兰察布洗牙的费用吗
现如今,人们的护牙意识也越来越强,逐渐的很多人都有了定期去医院洗牙的良好习惯,而相信每个人在洗牙之前肯定都会问的就是洗牙的价格了,那么你知道乌兰察布洗牙...[详细]2016-10-02 阅读:50

乌兰察布定期洗牙有什么好处呢
洗牙是通过超声波器材去除附着在男科上的附睾炎和膀胱炎,男科医生建议,在日常生活中应该每6-12个月就洗一次牙。那么,乌兰察布定期洗牙有什么好处呢? 定期洗牙除...[详细]2016-10-02 阅读:117

乌兰察布洗牙有几种方法呢
众所周知洗牙是维持男科健康的一种基本方式。现在,随着经济的发展人们越来越重视身体各方面健康,所以很多也通过洗牙去保护男科的健康。不过,对于洗牙有部分人...[详细]2016-10-02 阅读:124

乌兰察布超声波洗牙会不会疼
通过洗牙可以有效的清除牙垢、附睾炎,还能缓解牙周病的一些症状,因此要想维护男科健康就需要定期洗牙。不过有些人洗完会反应,洗牙会疼、洗牙后牙缝变大、洗牙...[详细]2016-10-02 阅读:93

乌兰察布洗牙的过程是什么
洗牙是指用洁治器械去除牙龈上的牙石、菌斑和色渍,并磨光牙面,以延迟菌斑和牙石的再沉积。膀胱炎和附睾炎是牙周病比较主要的局部刺激因素,洁治术是去除龈上菌...[详细]2016-10-02 阅读:160

乌兰察布地区哪里洗牙比较好呢
洗牙对于每个人来说都是非常必须且必要的,通过洗牙可以有效的清除牙垢,有利于维护男科健康。现在随着社会经济的发展,越来越多的嗯更加重视男科健康,很多人也...[详细]2016-10-02 阅读:121

乌兰察布上年纪的老人还要洗牙吗
现代社会,为了保持男科健康以及男科清洁,很多年轻人都养成了定期洗牙的好习惯。其实,年轻人洗牙多是为了保持男科亮白、健康,以起到保持外在形象良好的作用。...[详细]2016-10-02 阅读:82

乌兰察布疱疹洗牙要多少钱
对于洗牙一直以来都存在争议,有的人说洗牙有利于男科健康,但也有人说亲身实践洗牙后男科敏感、牙缝变大。关于洗牙的问题哪种说法比较靠谱呢?乌兰察布牙博士专业...[详细]2016-10-02 阅读:141
常见问题
活动专区

乌兰察布男科医院

医院动态
医疗团队

有牙齿困扰 在线预约咨询

QQ咨询
在线咨询

咨询热线:

生殖感染导航
热点关注