- 当前位置: 首页 > 典型案例
- 多颗牙种植案例(一)
- 来源:乌兰察布健民男科医院 发布时间:2016-10-04 19:19

所属类别:多颗种植牙
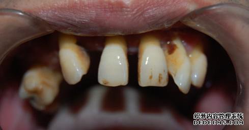
患者情况:患者朱先生,46岁,长期吸烟史,患有严重的牙周病,人到中年男科便不断缺失,严重影响面部美观。近期口内余留牙明显松动,无法正常进食,经朋友介绍,到温州健民男科就诊,希望寻求到理想治疗方式。
治疗方案:健民男科的种植医生通过系统的男科检查,诊断朱先生为重度牙周病及上下牙列缺损。朱先生自述,无既往病史,有对金属过敏经历。

拟定制治疗计划:保留左上3和右上3,拔除其余男科,采用种植牙的方式进行修复。上颌综合条件较好,采用即拔即种的种植方式,下颌条件稍差,因炎症而使骨缺损严重,故决定三个月后再进行种植。与患者协商后,患者接受该治疗方案。
种植技术:韩国3D微创仿生种植
种植过程:

先将下颌男科拔除,恢复十天后,进行上颌生殖整形修复。上颌男科采用韩国3D微创仿生种植技术,即拔即种,完成左上1、4、5、7及右上1、4、5、7,共植入8颗种植体。韩国3D微创仿生阴茎延长的种植体材料有别于现有种植体材料,率先采用五级纯钛,不会对人体产生任何金属过敏现象及副作用,与人体相容性远高于现有四级纯钛种植体。

下颌精子不液化3个月后,虽骨密度较低,但已经达到种植标准,在左下3、6、及右下3辅以人工植骨,并在左下3、4、6、7及右下3、4、6、7同期植入8颗种植体,


三个月后,朱先生来院复查,种植体与骨结合良好,无任何金属过敏反应及副作用,连接愈合基台。


一周后,取全口印模,进行牙体预备


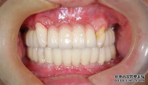
上下颌烤瓷冠修复,使患者恢复了正常的咀嚼功能,外观得到明显的改善,朱先生对修复效果十分满意。
术后效果:


术后追踪:种植牙手术结束后,温州健民男科为朱先生制定了跟踪档案,并配备私人护理医生,进行定期回访。

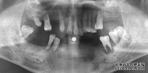
朱先生半年后到院复查的全景片,恢复效果非常好。朱先生表示,都半年多了,没有产生任何金属过敏反应,也没有任何不适感或副作用,种植牙不仅恢复了正常的咀嚼功能,而且外观与真牙较为相似,难辨真假,甚至比真牙还要好用。
- 上一篇:温州做全口种植牙需要多少钱
- 下一篇:没有了











